
At Delta Imaging Clinic, we understand how important accurate diagnosis is in making informed medical decisions. That’s why we offer specialized Second Opinion Radiology Services, led by Dr. Krushna Gandhi, M.B.B.S, M.D (Radiology) — a trusted expert in diagnostic imaging.

Dr. Mrs. Krushna Chandak Gandhi is a distinguished professional known for her dedication and contribution in the field of Radiology. With a career spanning over 10+ years, she has earned a reputation for her commitment to excellence, compassion and thought leadership. She holds an MBBS and MD in Radiology and serves as a Visiting Radiologist. She is Expertise in Comprehensive interpretation of X-rays, ultrasound scans, color Doppler, and other diagnostic modalities.
I needed a chest X-ray done quickly for a visa medical, and Delta Imaging delivered. The process was fast, the equipment looked modern, and the staff were courteous. Dr. Gandhi even took the time to explain the results. Exceptional service!
As a referring physician, I often send patients to Delta Imaging for Doppler studies. Dr. Krushna Gandhi’s reports are thorough, prompt, and clinically valuable. Her attention to detail and patient care are outstanding.
I visited Delta Imaging for a Color Doppler scan during my high-risk pregnancy. Dr. Krushna Gandhi was meticulous and kind, explaining the blood flow readings in detail. Her calm approach and expertise gave me so much confidence. Truly a doctor you can trust.
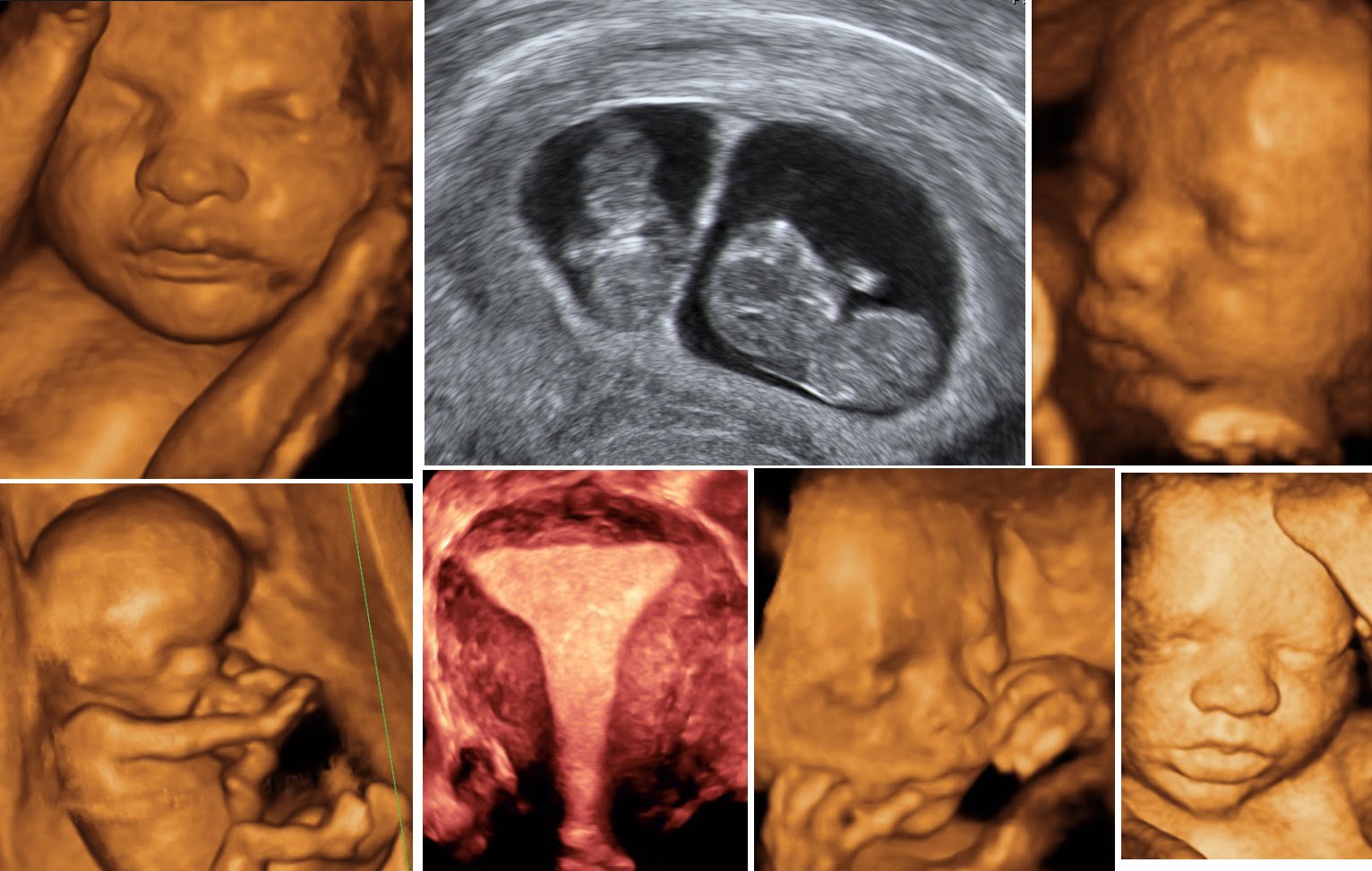
Delta Imaging Clinic gave us one of the most magical moments of our pregnancy. Dr. Gandhi explained everything so patiently during the 4D scan and made sure we were relaxed and informed. Highly recommend them to all expecting parents!
Seeing our baby’s face for the first time in 4D brought tears to our eyes. Dr. Krushna Gandhi made the whole experience so special and comforting. The images were crystal clear, and the staff at Delta Imaging Clinic were incredibly warm and professional. It’s a memory we’ll cherish forever.
Best center to get X ray and sonography done.Dr. Krushna Gandhi Mam Demonstrated with excellent communication skills, ensuring I understood the procedure and felt at ease throughout. The staff is very cooperative and the reports were quick 👍 …
Best center to get X ray and sonography done.Dr .krushna has a lot of experience and is expert in her own field.The staff is very cooperative and the reports were quick 👍 …
Best sonography centre in tiranga chowk
Best sonography and x-ray services in sakkardara. Only scannogram available here in east Nagpur.
Address: 469, First Floor, Jattewar, Tiranga chowk, near Sangam Cinema, Azamshah Layout, Nagpur, Maharashtra 440009
Phone: 0712 4071530 / 8484004594
Email: info@drkrushnagandhi.com
Social Chat is free, download and try it now here!